View Record

106
Ctenopharyngodon idella
Carp, Grass
Ulceration
Skin and muscle
Possible bacterial
Possible bacterial
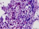
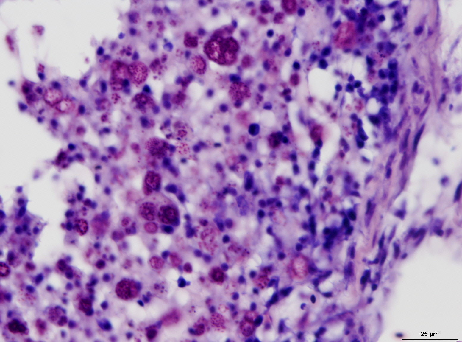
All grass carp showed ulcerative skin lesions, other species were normal.
Grass carp affected in mixed population of coarse fish. Histology showed fin rot, superficial haemorrhages with numerous intracellular and extracellular organisms, weakly PAS positive.
Environment Agency
Southern England
UK
D. Bucke
3/1/1980