View Record

139
Tinca tinca
Tench varieties
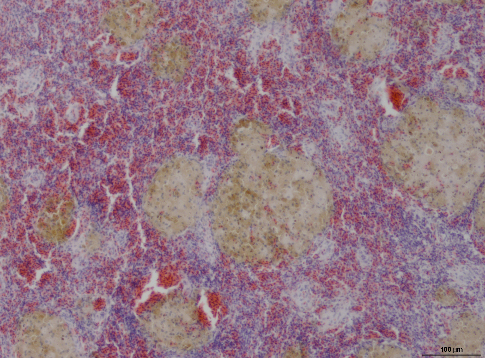
Macrophage aggregates
Kidney and spleen
General stress response
General stress response
The size and number of macrophage aggregates have been used as a general indicator of stress, caused by infectious disease or contaminant exposure. See UK marine monitoring programme and BEQUALM website (www.bequalm.org)
No mortalities.
Multiple macrophage aggregates in spleen and kidney.
Pond
South west England
UK
D. Bucke
7/21/1980