View Record

174
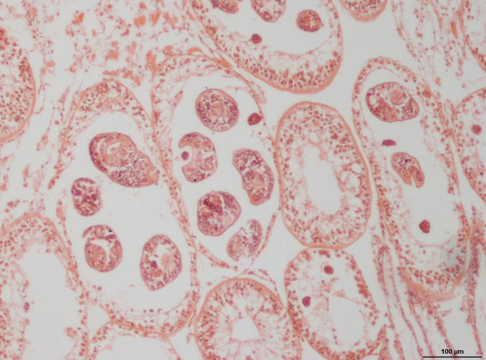
Mytilus edulis
Mussel, Blue Or Edible
Trematode infection
Digestive gland
Bucephalus sp.
Bucephalus sp.
This specimen shows a particularly intense infection with these parasites
Histology shows masses of trematodes infesting the digestive tract lumen.
Not recorded
Northern Ireland
UK
Dr. J. McArdle
1/3/1981