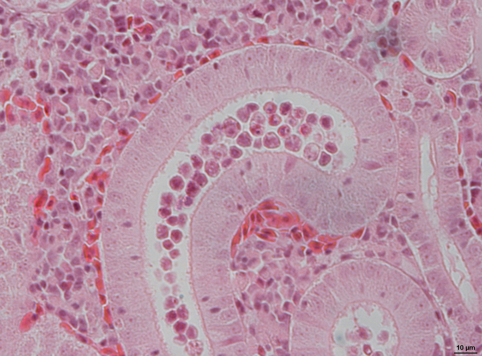
Data and Publications - Registry of Aquatic Pathology View Record Accession number: 180 Host species (latin): Carassius auratus Common name: Goldfish, Shubunkin Disease/condition: Myxosporidiosis Location (host): Kidney tubules Aetiology: Sphaerospora sp. Aetiology: Sphaerospora sp. Additional Information: Significance: Incidental finding. Lession: Parasites in kidney tubules, little host response. Affected tubules show a reduction in mean epithelial cell height. Stains: Location: Pet fish dealer Area: Not recorded Country: UK Submitter: D. Bucke Accession date: 7/14/1981 Images: Working for a sustainable blue future