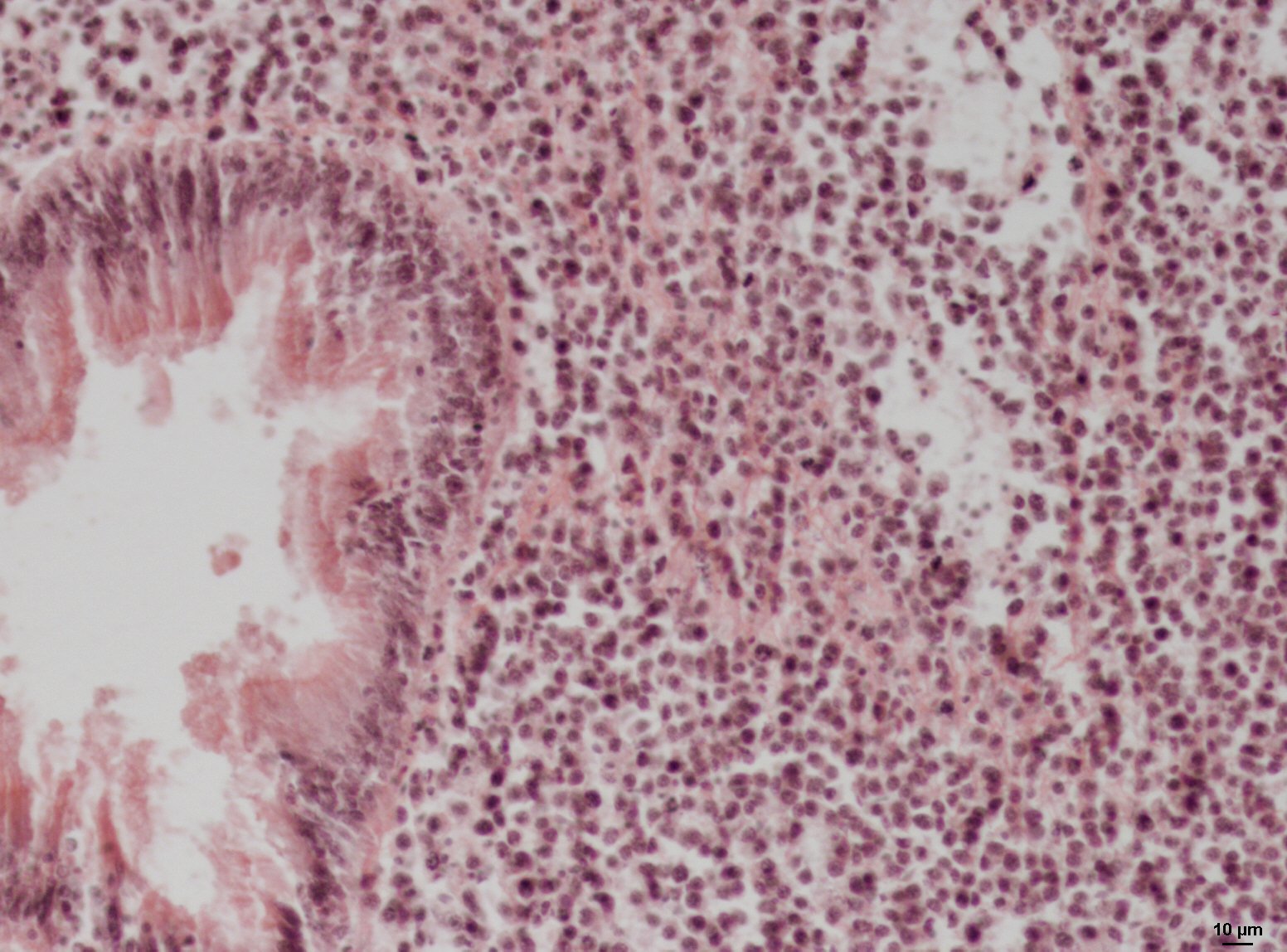
Data and Publications - Registry of Aquatic Pathology View Record Accession number: 306 Host species (latin): Ostrea edulis Common name: Oyster, European Flat Disease/condition: Haemocytic neoplasia Location (host): Systemic Aetiology: Unknown -possibly viral Aetiology: Unknown -possibly viral Additional Information: Significance: An occasional finding in flat oysters. Lession: Proliferation of presumptive neoplastic haemocytes. Stains: Location: Not recorded Area: Not recorded Country: FRANCE Submitter: Dr. H. Grizel Accession date: 1/4/1982 Images: Working for a sustainable blue future