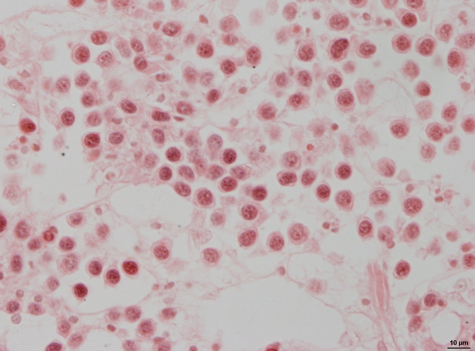
Data and Publications - Registry of Aquatic Pathology View Record Accession number: 319 Host species (latin): Mytilus edulis Common name: Mussel, Blue Or Edible Disease/condition: Haemocytic neoplasia Location (host): Systemic Aetiology: Unknown Aetiology: Unknown Additional Information: Significance: Unknown Lession: Histology showed proliferation of haemocytes exhibiting an increased nuclear:cytoplasmic ratio. Stains: Location: Tal y Foel Area: Menai Straits Country: WALES Submitter: Dr Alderman Accession date: 10/3/1983 Images: Working for a sustainable blue future