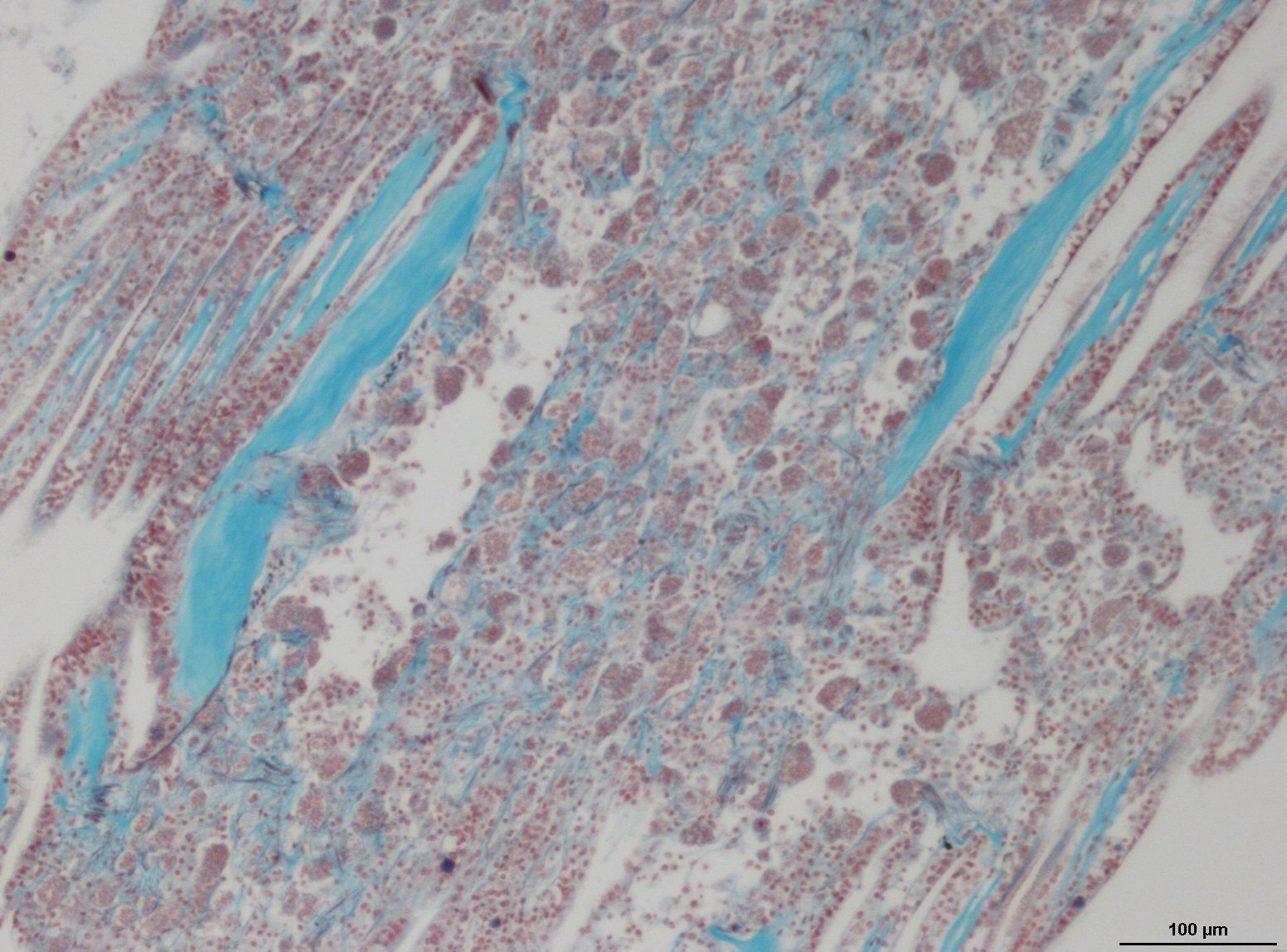
Data and Publications - Registry of Aquatic Pathology View Record Accession number: 329 Host species (latin): Ostrea edulis Common name: Oyster, European Flat Disease/condition: Haplosporidiosis Location (host): Systemic Aetiology: Haplosporidium armoricana Aetiology: Haplosporidium armoricana Additional Information: Significance: Low incidence - 0.001% in 1983. Lession: Marked infection in the connective tissue, including plasmodium and spores. Stains: Location: Poole Harbour Area: S. ENGLAND Country: UK Submitter: D. Bucke Accession date: 4/1/1983 Images: Working for a sustainable blue future