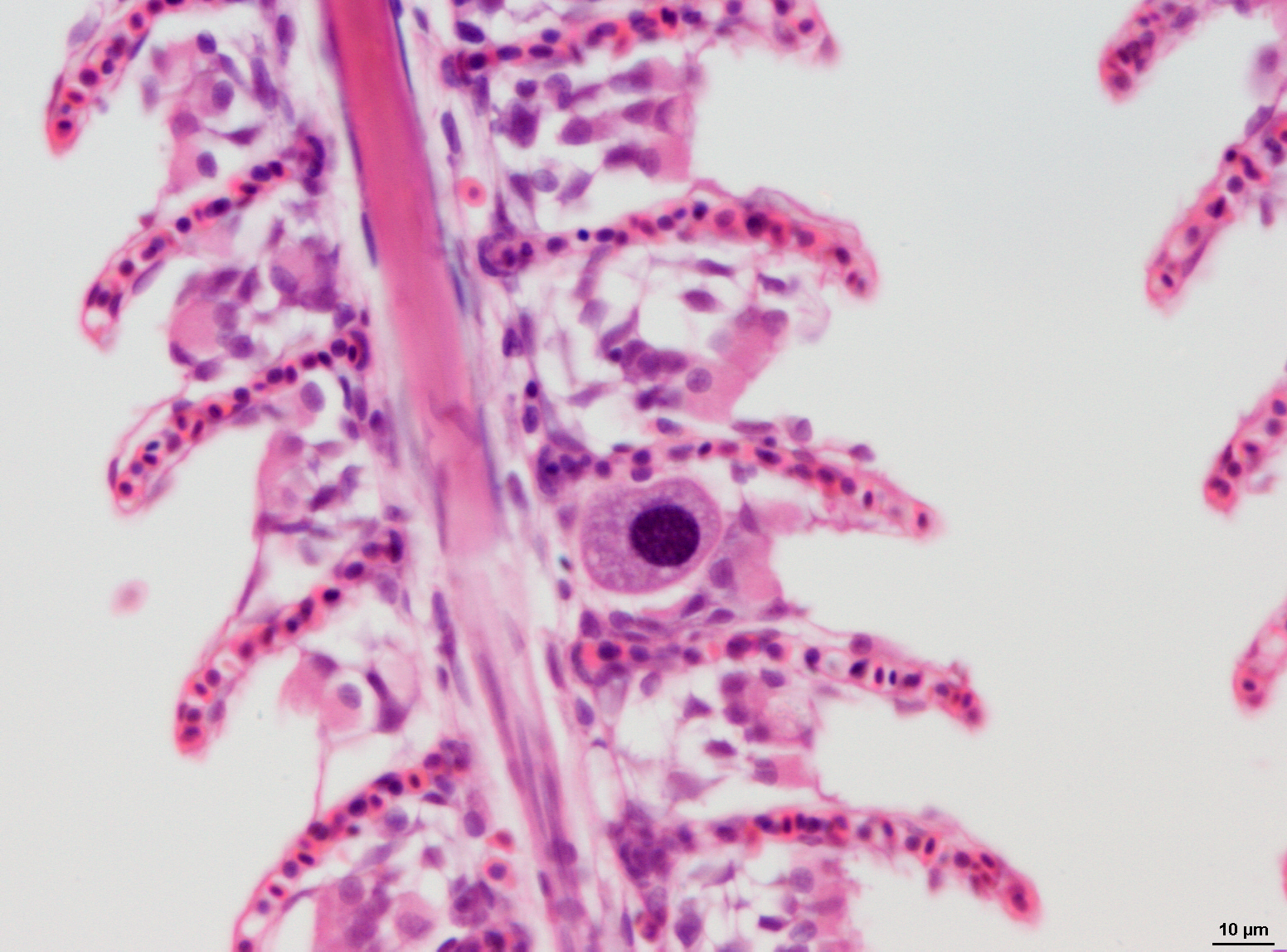
Data and Publications - Registry of Aquatic Pathology View Record Accession number: 368 Host species (latin): Ameca splendens Common name: Butterfly splitfin Disease/condition: Ciliate parasite Location (host): Gill Aetiology: Undetermined Aetiology: Undetermined Additional Information: Significance: Unknown Lession: Numerous parasites present in the gill epithelium. Limited host response Stains: Location: Experimental facility Area: Lowestoft Country: UK Submitter: S.W. Feist Accession date: 7/2/1985 Images: Working for a sustainable blue future