View Record

415
Litopenaeus marginatus
Prawn, Aloha
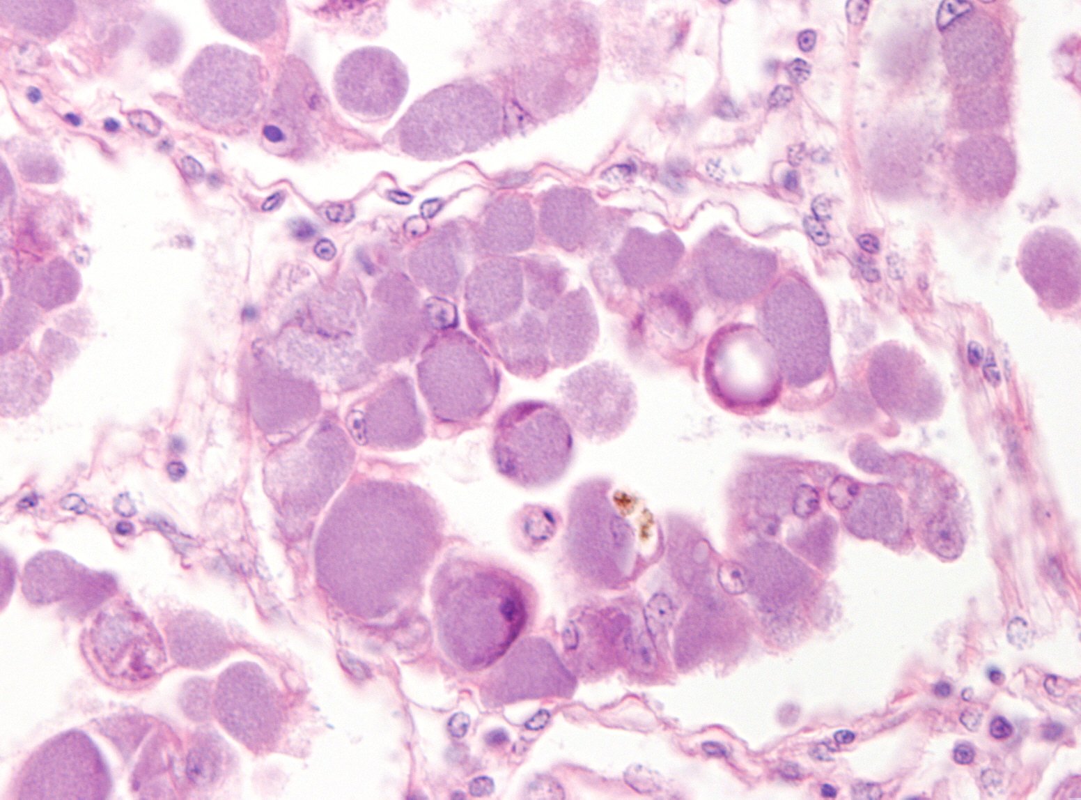
Rickettsia
Hepatopancreas
Rickettsia-like organism
Rickettsia-like organism
Heavily infected shrimp become lethargic and also do not feed.
Colonies of the pathogen can be seen distributed throughout the hepatopancreas.
Not recorded
Not recorded
HAWAII
Dr. Jim Brock
1/2/1991