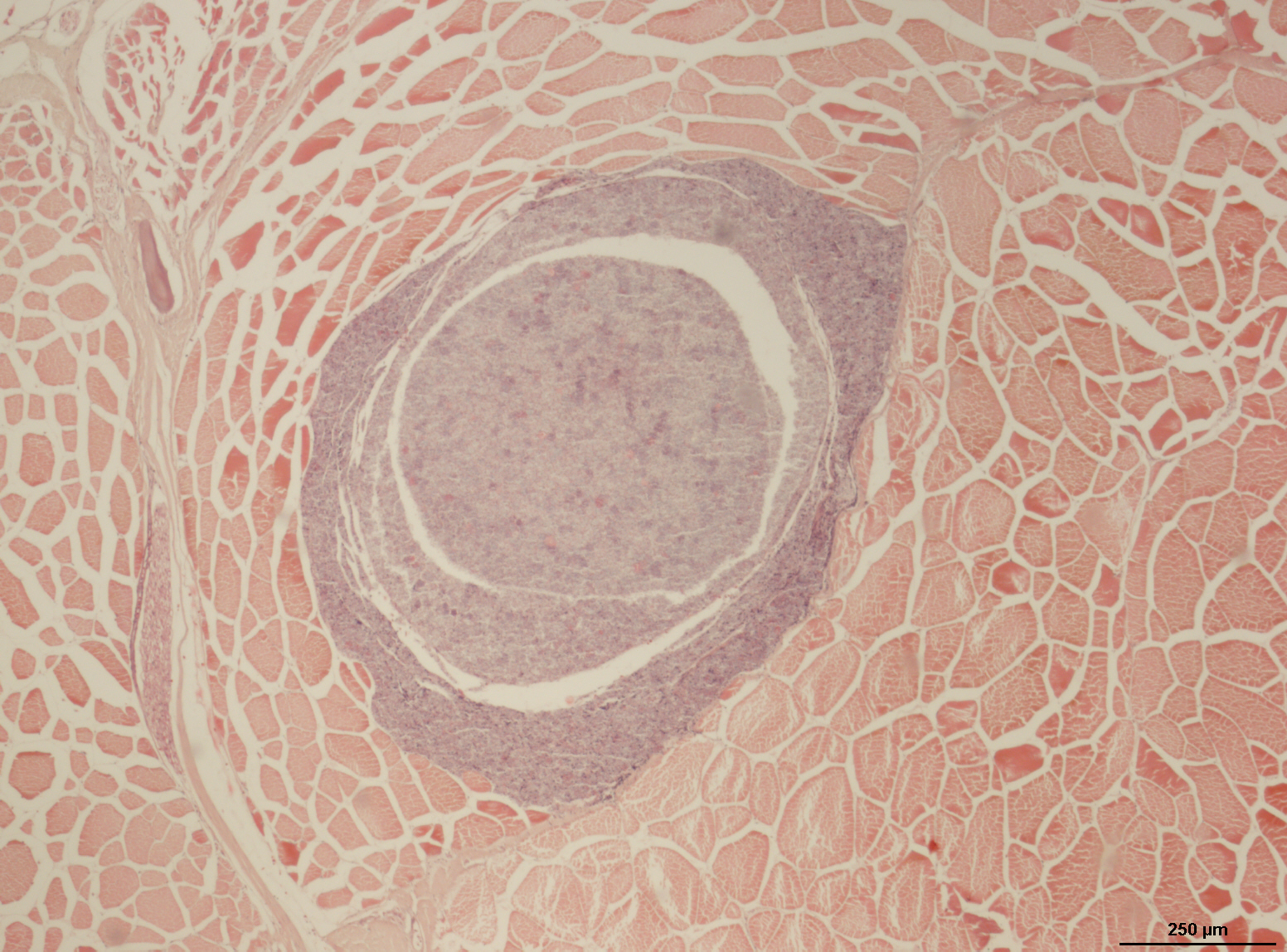
Data and Publications - Registry of Aquatic Pathology View Record Accession number: 460 Host species (latin): Hippoglossoides platessoides Common name: Dab, Long Rough Disease/condition: Microsporidiosis Location (host): Muscle Aetiology: Pleistophora hippoglossoides Aetiology: Pleistophora hippoglossoides Additional Information: Significance: Low prevalence Lession: Multiple well circumscribed xenoma eliciting little host response. Stains: Location: Not recorded Area: North Sea Country: UK Submitter: D. Bucke Accession date: 1/1/1992 Images: Working for a sustainable blue future