View Record

504
Cyprinus carpio
Carp, Koi
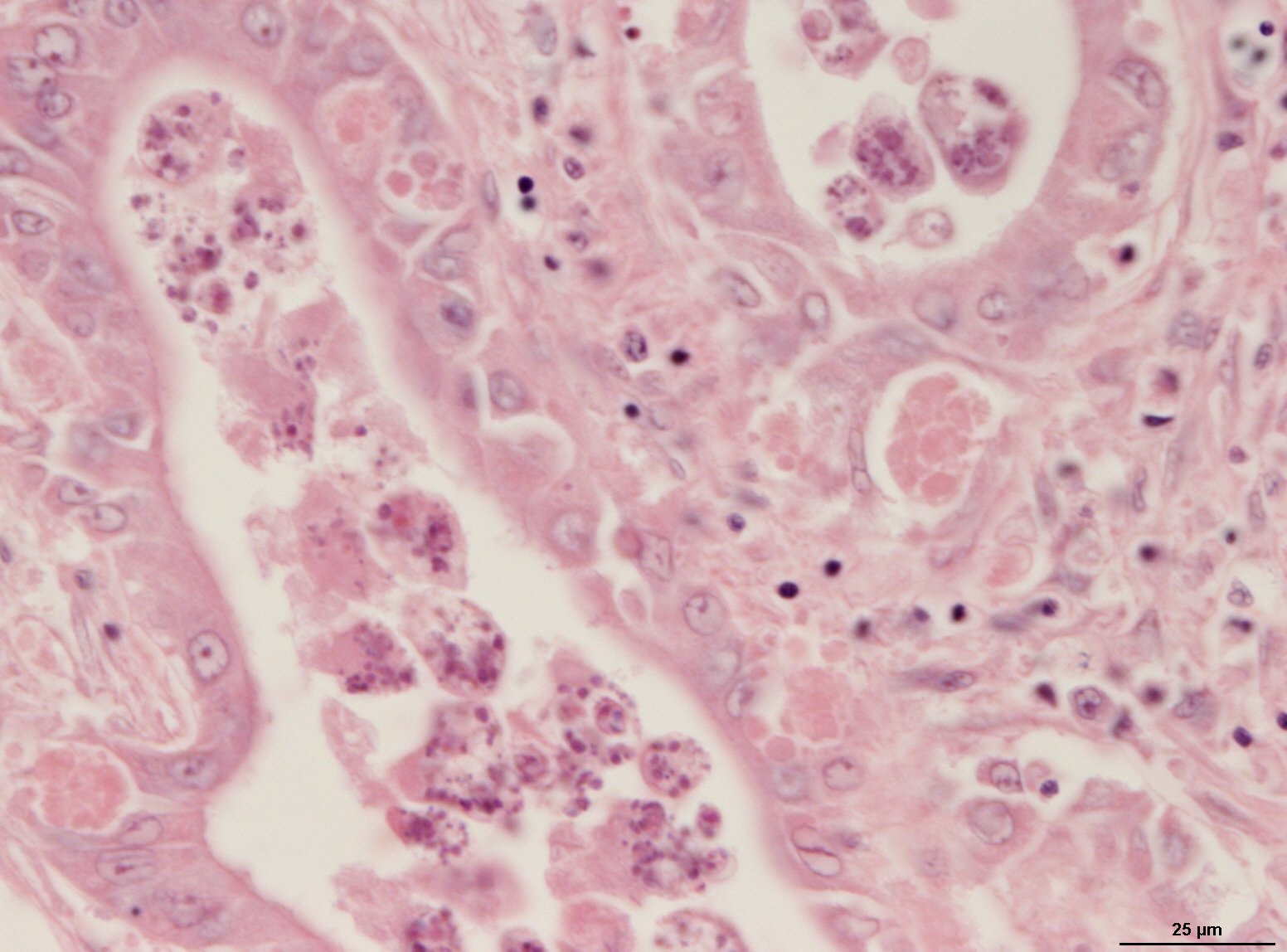
Myxosporidiosis
Kidney
Hoferellus cyprini
Hoferellus cyprini
Submitted via Langford VIC
Not usually considered to be a serious pathogen of carp.
Cystic hyperplasia of the kidney resulting in gross swelling. Parasite stages present in the distended renal tubule lumens. Extrasporogonic stages present.
Not recorded
Not recorded
UK
Alex Barlow
2/8/1993