View Record

546
Carassius auratus
Goldfish, Common
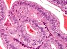
Myxosporidiosis
Kidney
Hoferellus carassii
Hoferellus carassii
Causes severe abdominal swelling with ascites.
Cystic papillomatous hyperplasia of the renal tubeule epithelium. Epithelial cells infected with intracellular stages of the parasite. Luminal stages present but with very spores identifiable.
Commercial water gardens pond
Dorset
UK
S.W. Feist
10/16/1997