View Record

550
Oncorhynchus mykiss
Trout, Rainbow Freshwater
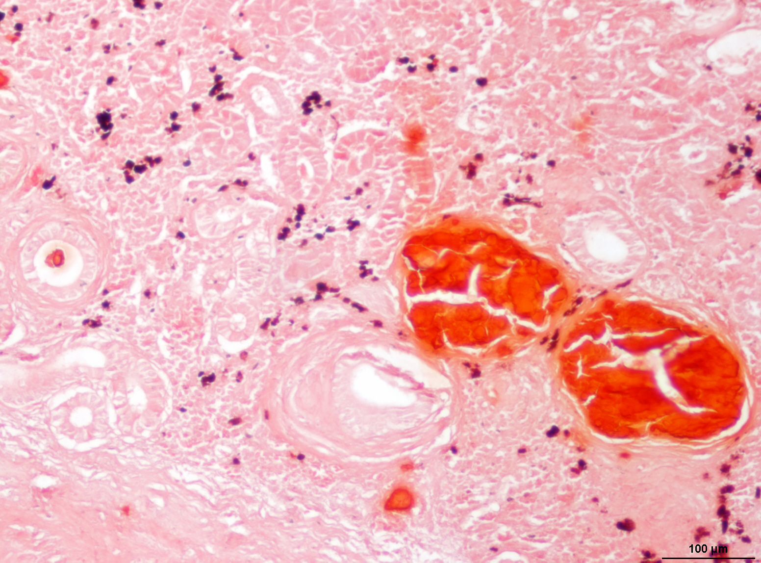
Nephrocalcinosis
Kidney and Urinary tubules
Exposure to hard water
Exposure to hard water
Severe nephrocalcinosis. A common condition of salmonids raised in hard water/ high levels of dissolved C02 which results in calcium salts precipitating in the urinary tracts and collecting ducts.
Section shows advanced nephrocalcinosis. Urinary tubules are grossly dilated and filled with amorphous basophilic deposit. There is an extensive fibrosis of tubules and a massive reduction in interstitial tissue.
Trout farm location
Not recorded
UK
S. Swaine
1/3/1997