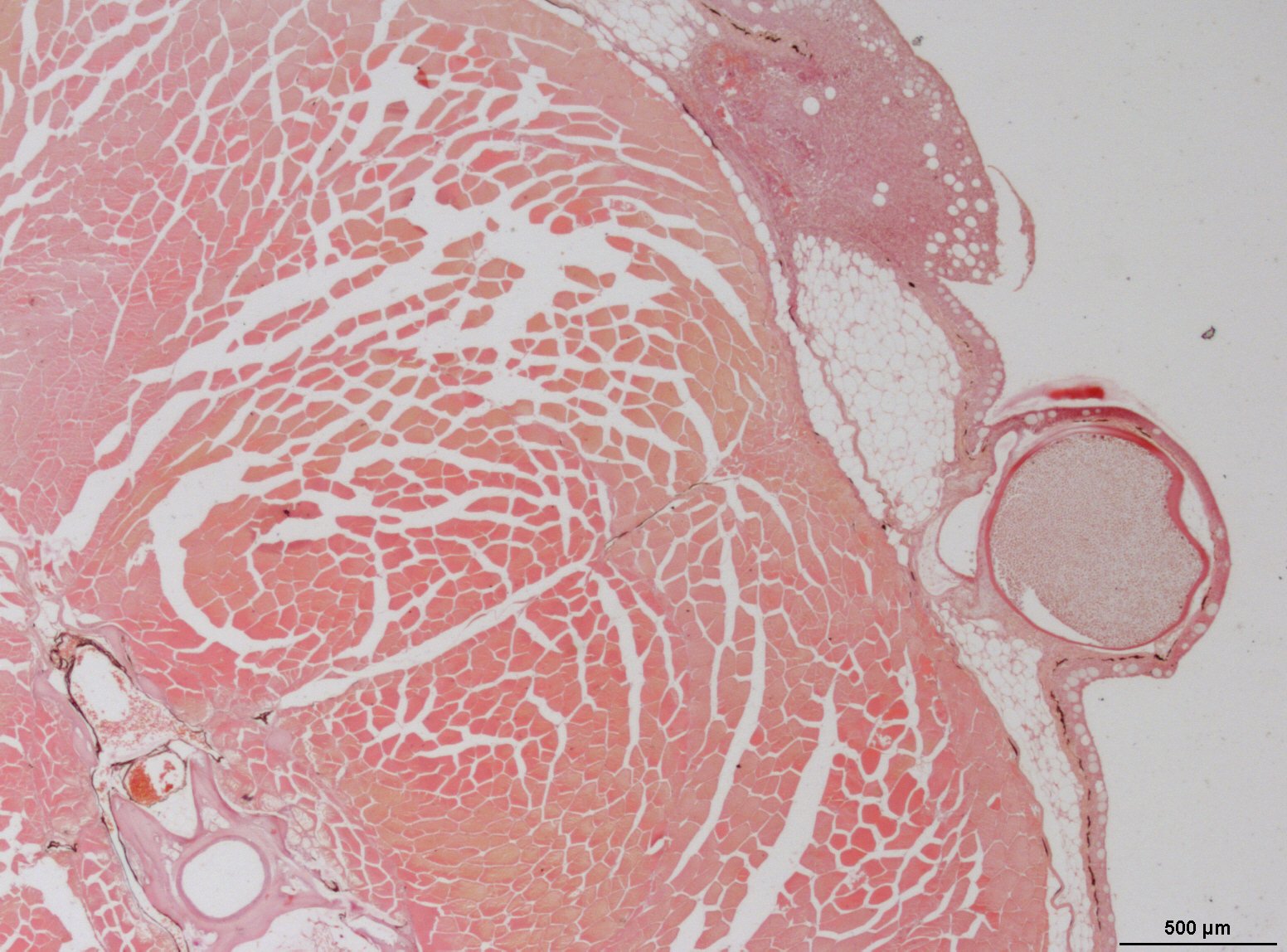
Data and Publications - Registry of Aquatic Pathology View Record Accession number: 551 Host species (latin): Cottus gobio Common name: Bullhead Disease/condition: Dermocystidium Location (host): Skin Aetiology: Dermocystidium salmonis Aetiology: Dermocystidium salmonis Additional Information: Significance: Unknown, not previously reported from C.gobio. Lession: Sub-dermal cysts, some rupturing and releasing the characteristic spores. Spores measuring an average of 7um. Stains: Location: River Allen Area: Cornwall Country: UK Submitter: S.W. Feist Accession date: 1/7/1997 Images: Working for a sustainable blue future