View Record

58
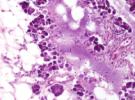
Oncorhynchus mykiss
Trout, Rainbow Freshwater
Infectious Pancreatic Necrosis (IPN)
IPN virus
IPN virus
1) Bucke D (1977) - Attempts to assess the occurrence of I.P.N. in fish in England and Wales. Bulletin of International epizootics 8:429-433. 2) Bucke D, McGregor D, Seagrave C (1979) - Infectious Pancreatic Necrosis virus; its occurrence in captive and wild fish in England and Wales. Journal of Fish Diseases 2:549-553.
100% of fish affected with mortalities in the young fish.
Focal areas of necrosis in the pancreas plus intestinal necrosis.
Experimental site
Weymouth
ENGLAND
D. Bucke
9/28/1979