View Record

715
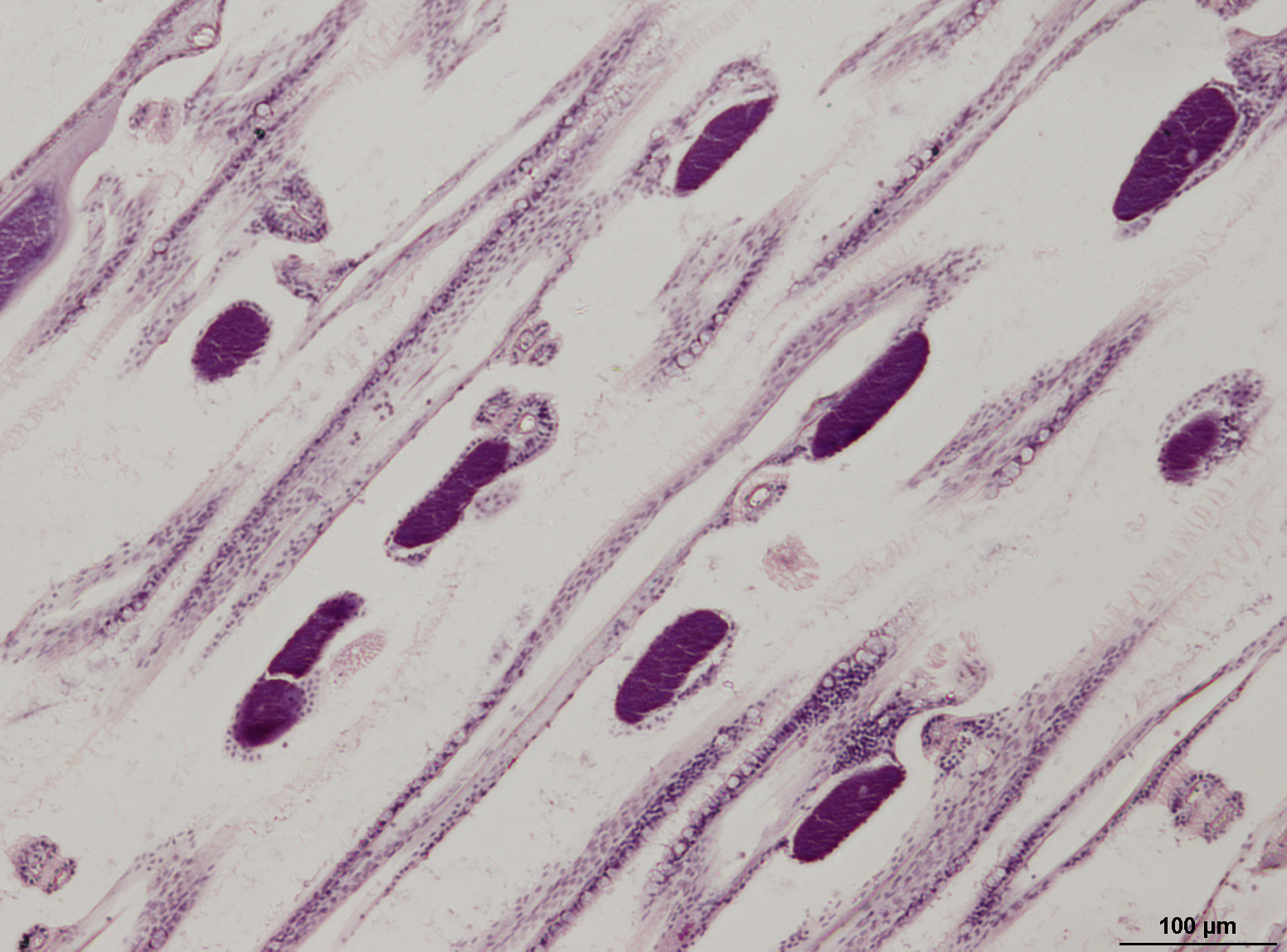
Aequipecten opercularis
Scallop, Queen
Blue Body Disease
Gill
Basophillic inclusion bodies with prokaryotes located in the gills.
Basophillic inclusion bodies with prokaryotes located in the gills.
The intensity is not very high and it does not seem to pose a threat to the organism.
No host reaction evident.
West of Portland Bill
English Channel
UK
Karin Lohrmann
1/6/1999