View Record

73
Oncorhynchus mykiss
Trout, Rainbow Freshwater
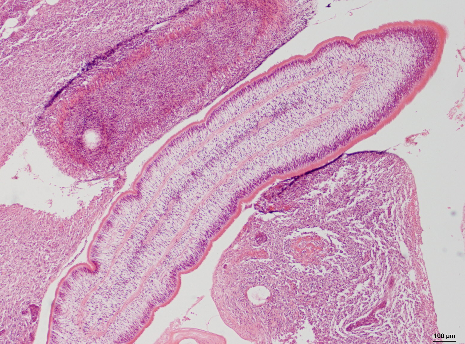
Visceral granulomatosis
Peritoneal cavity
Cestode parasites
Cestode parasites
Some mortalities on farm, the parasite infestation may be a significant factor.
Cestode parasites in the peritoneal cavity, kidney tubule damage. The parasites appear to induce pressure atrophy on the visceral organs.
River at Corby
Northants
UK
D. Bucke
9/29/1979