View Record

796
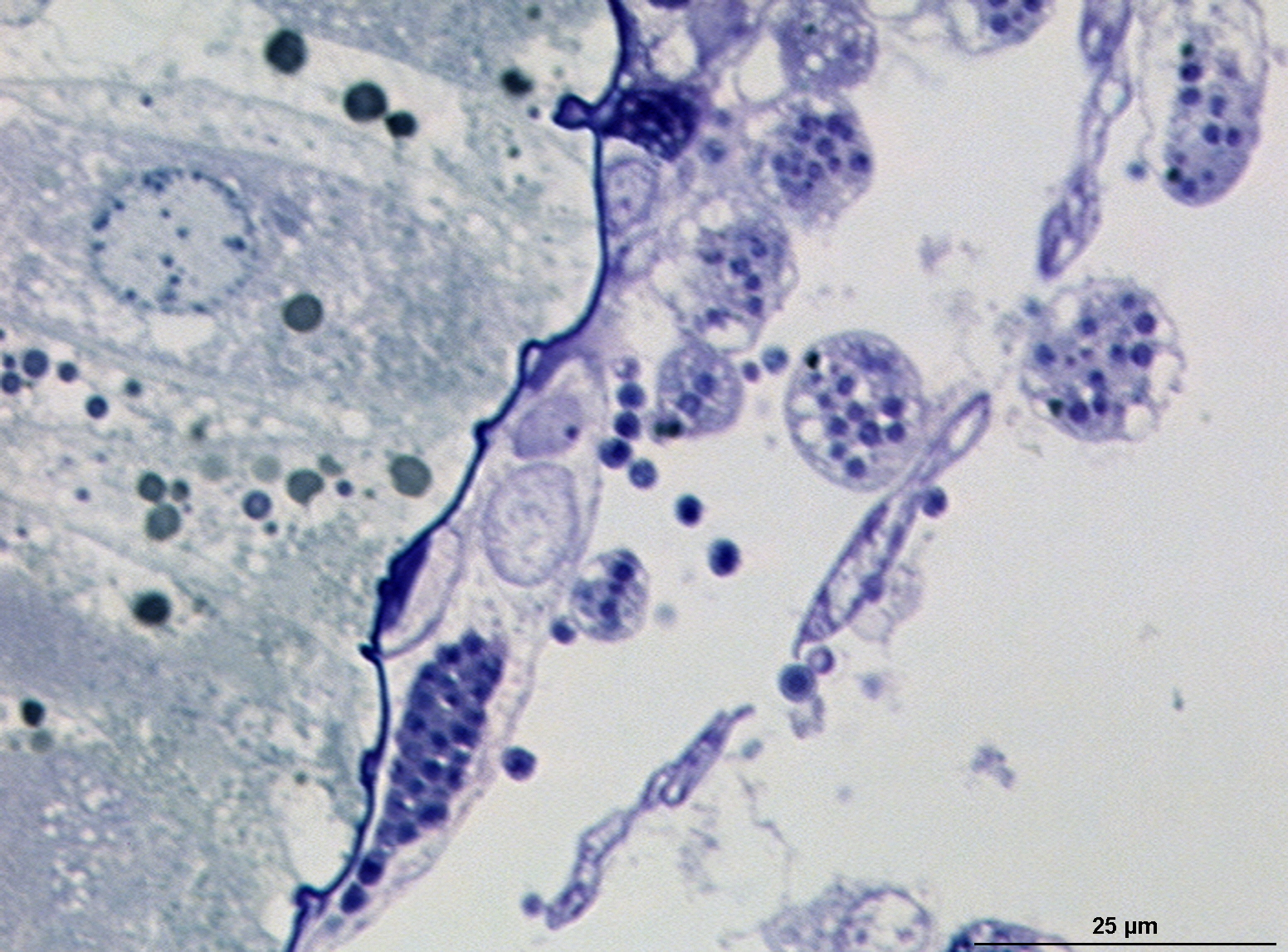
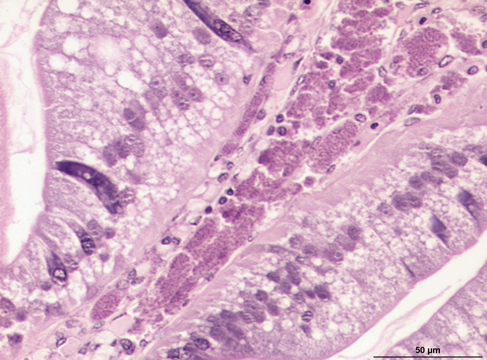
Carcinus maenas
Shore Crab (common)
Haplosporidiosis
Hepatopancreas and all haemal sinuses
Haplosporidian sp.
Haplosporidian sp.
Stentiford, G.D., Feist S.W., Bateman, K.S., Hine P.M. (2004) A haemolymph parasite of the shore crab Carcinus maenas: pathology, ultrastructure and observations on crustacean haplosporidians. Diseases of Aquatic Organisms 59, 57-68. Co-infection with Microphallus carcini (Digenea) in the sinuses of hepatopancreas.
Not previously reported from Carcinus maenas
Numerous parasitic xenomas and free spores. Systemic infection.
Newtons Cove
Weymouth
UK
G. D. Stentiford
3/21/2003