View Record

818
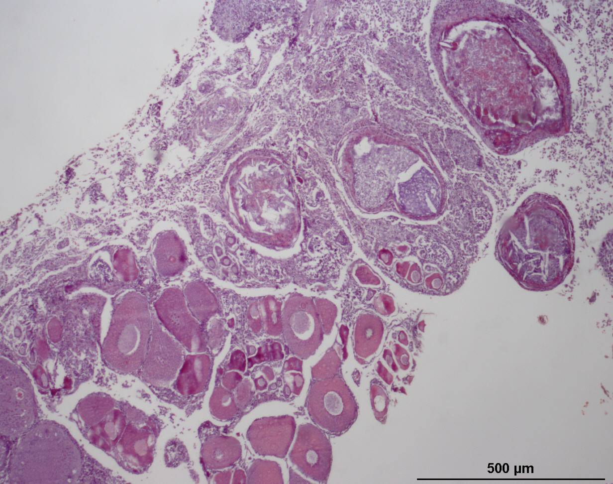
Rutilus rutilus
Roach (inc. hybrids)
Intersex
Testis
Exposure to endocrine disrupting chemicals (EDCs)
Exposure to endocrine disrupting chemicals (EDCs)
Length 33cm
Also reported from roach populations in the UK.
Small to large previtellogenic oocytes distributed throughout the testicular tissue.
Aland Islands
Baltic Sea
Finland
Dr Tom Wiklund
6/2/2004