View Record

823
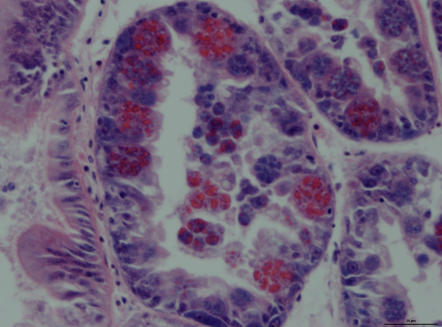
Mytilus edulis
Mussel, Blue Or Edible
Marteiliasis
Digestive diverticulae and stomach epithelium
Marteilia maurini
Marteilia maurini
First report of this parasite in UK waters. Marteilia refringens known to cause extensive mortalities in Ostrea edulis
Numerous developmental stages in the epithelium of digestive diverticulae and stomach. Spores and refringent granules clearly seen.
Brancaster
Southern England
UK
J. P. Bignell
7/29/2004