View Record

830
Oncorhynchus mykiss
Trout, Rainbow Freshwater
Enteric Redmouth Disease (ERM)
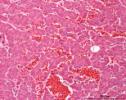
Systemic but predominantly liver and kidney
Yersinia ruckeri
Yersinia ruckeri
Submitted via the Fish Health Inspectorate
Generally a seasonal disease (spring) of rainbow trout. Associated with mild to moderate losses in unvaccinated stocks.
Necrosis of endothelium in renal blood vessels and hepatic sinusoids. Localised haemorrhaging and hepatocellular necrosis.
Fish farm location
Not recorded
UK
S.W.Feist
6/1/2005