View Record
862
                Litopenaeus vannamei
                Shrimp, Whiteleg
                Infectious Myonecrosis Virus (IMNV)
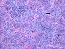
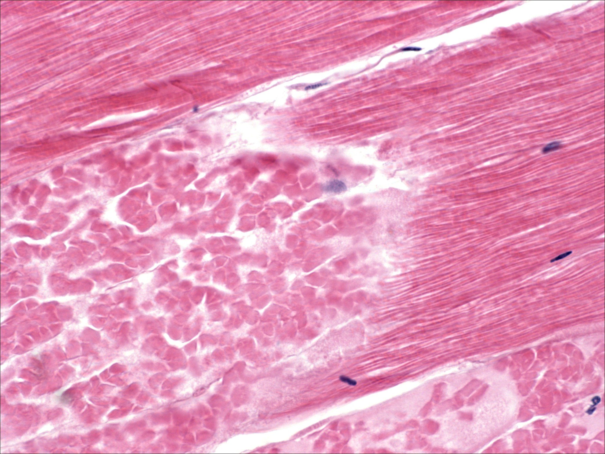
                Muscle
                Infectious Myonecrosis Virus (IMNV)
                Infectious Myonecrosis Virus (IMNV)
        Unassigned sp. from Family Totiviridae.  Virions measure ~40nm non-enveloped icosahedral virion, dsRNA.
Affected countries: Almost entirely in Brazil, limited information in Asia but was reported in Indonesia and China in 2006
        IMNV causes mass mortalities, low survival rates 30-40%.  IMNV can infect Litopenaeus vannamei late PL, juveniles and subadults, experimentally infected L.stylirostsis and P. monodon.  Gross symptoms - White foci in muscle, progressive necrosis of tail fan, tail looks reddened (cooked) in appearance.  Poor feed conversion ratios.  Animals feed until capture, stress of capture causes tail whitening very quickly
        Focal acute muscle necrosis with oedema, haemocytic inflammation and fibrosis.  Enlarged Lymphoid organ with spheroids, spheroids can become ectopic and be found in gills and heart
        Univeristy of Arizona
        Tucson, Arizona
        USA
        Dr D.V.Lightner
                10/29/2007