View Record

863
Litopenaeus vannamei
Shrimp, Whiteleg
Necrotising hepatopancreatitis (NHP) and Vibriosis
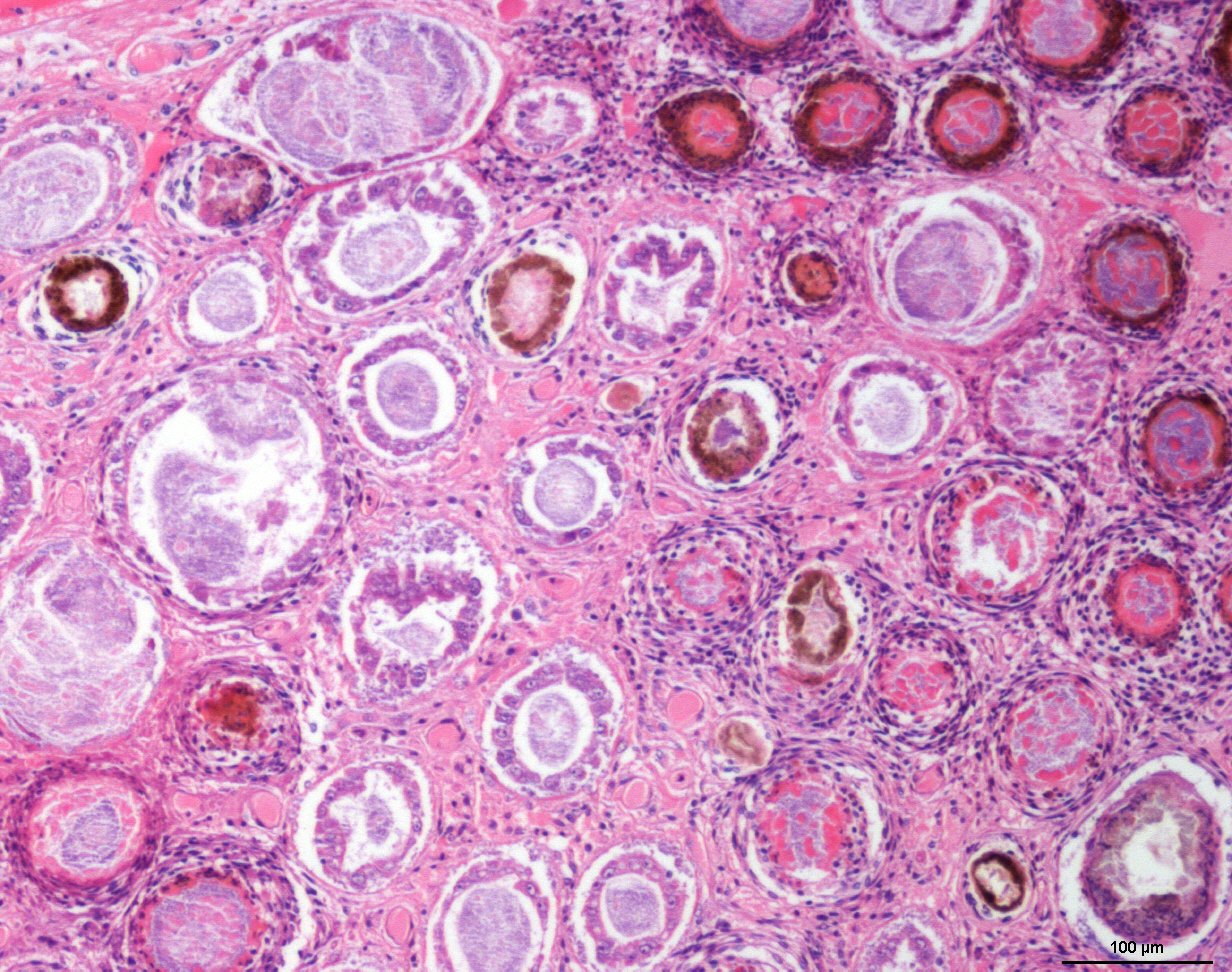
Hepatopancreas
Necrotising hepatopancreatitis (NHP) and Vibrio sp.
Necrotising hepatopancreatitis (NHP) and Vibrio sp.
Pleomorphic rickettsia like bacterium, Gram negative, Cytoplasmic replication Rod 0.25 x 0.90µm, no flagellaHelix 0.25 x 2-3.5µm, 8 apical flagella and 2 flagella on helix. Affected countries: USA (Texas), Peru, Ecuador, Colombia, Venezuela, Brazil, Mexico, Central America (Belize, Honduras, Nicaragua, Eritrea). Disease has not been found to occur in Asia
Mortalities range from 50-99%. Disease tends to occur when >30% salinity and >28ºC and can infect L. vannamei, L. stylirostris, L. setiferus and Fa. aztecus juveniles and sub-adults. Experimentally infected P.monodon. Gross symptoms - Reduced growth and mortalities, soft cuticle, flaccid bodies, epibiont fouling, black gills and appendages, black pleopods due to expansion of melanophores, HP atrophy, reduced lipid, melanised tubules
Hepatopancreatic lesions Acute phase - Intense intratubular haemocytic response, HP tubules melanised, Necrosis and sloughing of HP epithelial cells, Reduced levels of lipid droplets, Cytoplasmic masses of very small intracellular bacteria. Secondary infections by Vibrio spp. commonChronic phase - Marked atrophy of tubules and reduced epithelial cell height, Low lipid storage, Intracellular edema, Granulomas may be reduced or absent, Some cells contain intracellular bacteria
University of Arizona
Tucson, Arizona
USA
Dr D.V.Lightner
10/29/2007