View Record

864
Litopenaeus vannamei
Shrimp, Whiteleg
Vibriosis
Vibrio sp.
Vibrio sp.
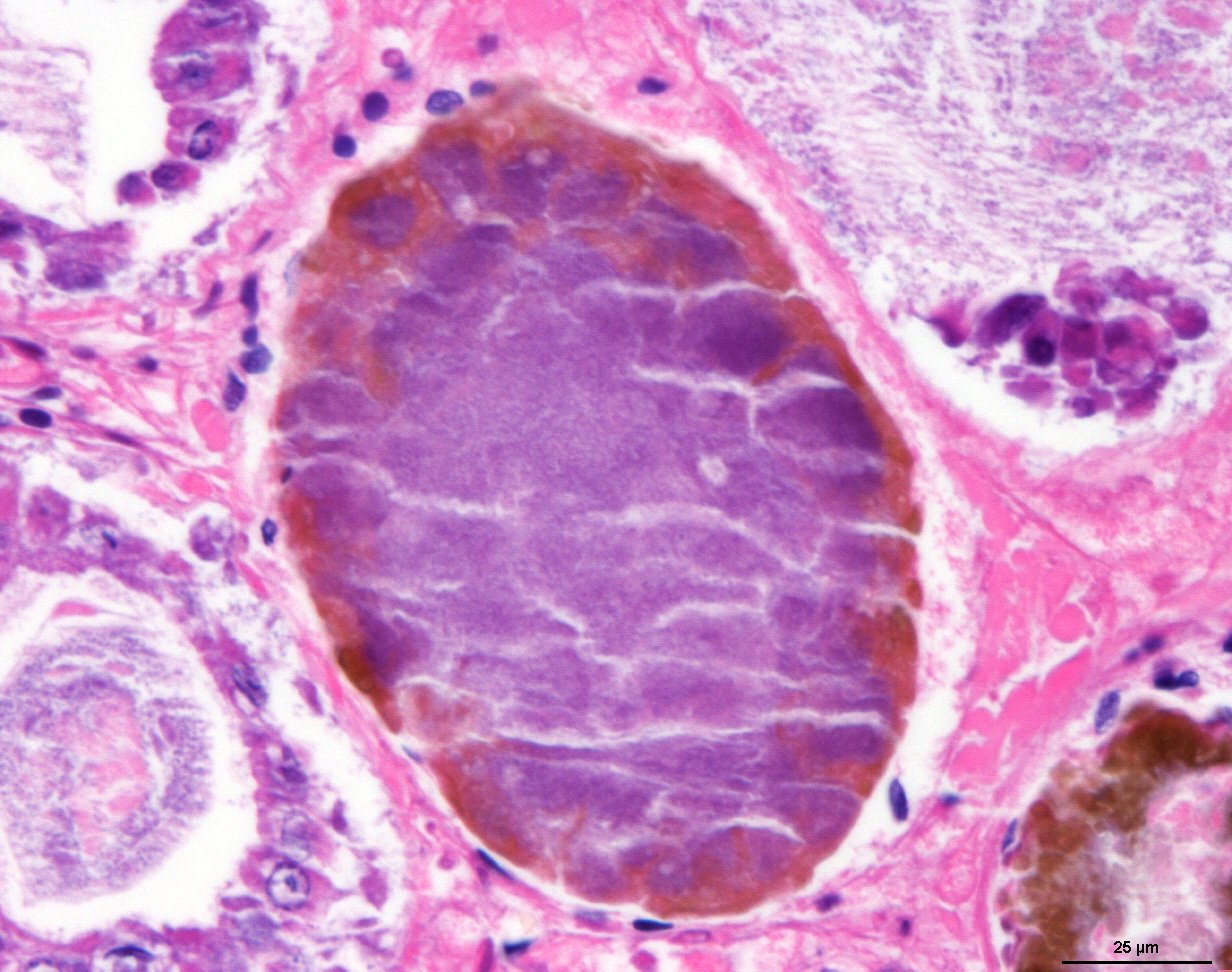
Many vibrio infections are opportunistic or secondary, some strains may be highly pathogenic. Vibrios are gram negative, pleomorphic, curved rods, halophilic, some species are luminescent Worldwide occurrence
High to severe mortalities. Many Vibrio species are in shrimps normal microflora. Sea birds attracted to dead or moribund shrimp, may act as vectors. Gross symptoms - Reduced feeding, absence of fecal strands, delayed moulting, bacterial colonisation of cuticle, appendages, oral region, HP, gut. Increased haemolymph clotting time, melanised foci in/on cuticle, gills or appendages. Muscle opacity and pigmentation changes. HP whitish often with black spots/streaks. Observation of bacteria within haemolymph in wet mounts
Sloughing HP/MG epithelial cells. Haemocytic inflammation and melanisation, bacteria in nodule centres.
University of Arizona
Tucson, Arizona
USA
Dr D.V.Lightner
10/29/2007