View Record

866
Litopenaeus stylirostris
Prawn, Blue
Infectious Hypodermal and Hematopoietic Necrosis Virus (IHHNV)
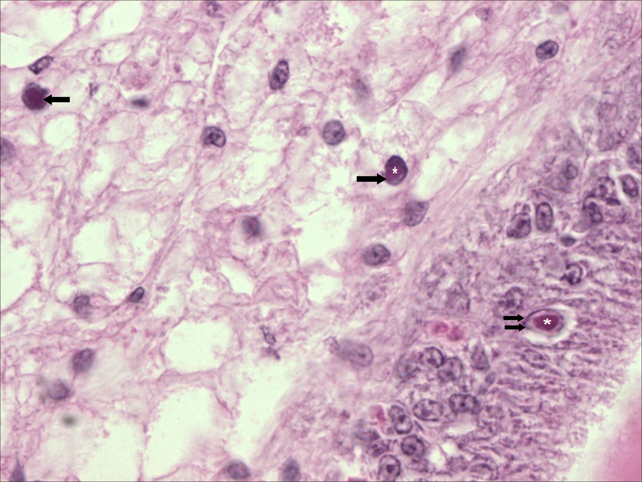
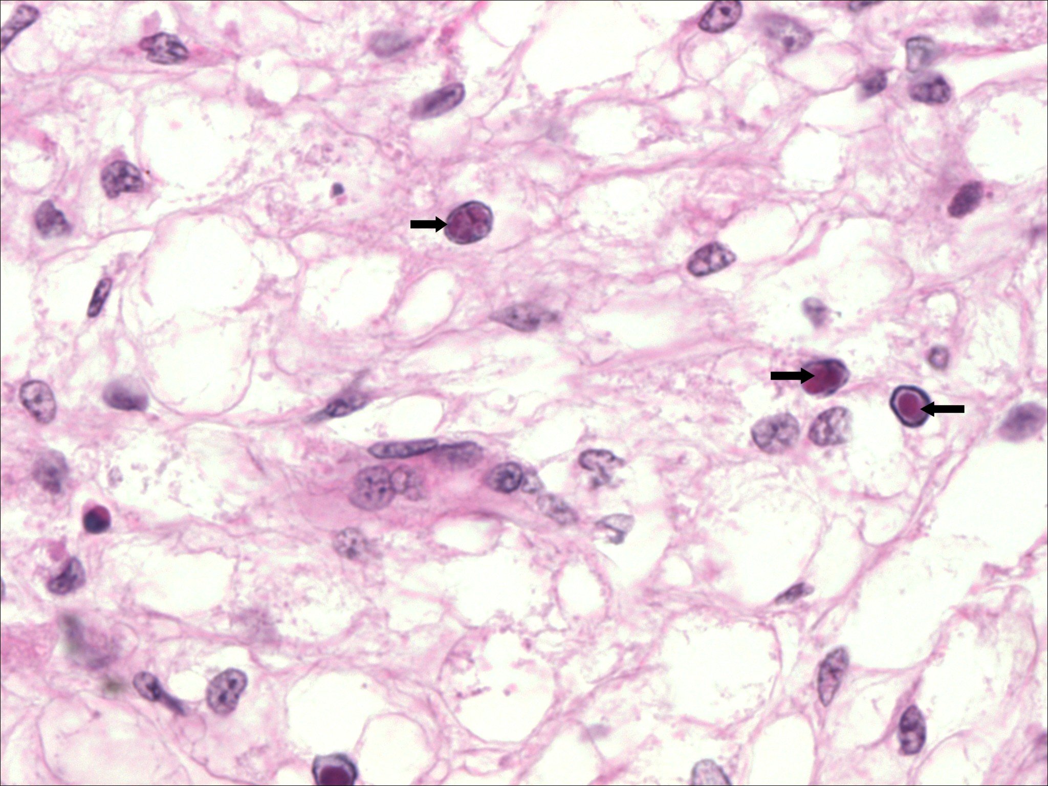
Hematopoietic and connective tissues
Infectious Hypodermal and Hematopoietic Necrosis Virus (IHHNV)
Infectious Hypodermal and Hematopoietic Necrosis Virus (IHHNV)
Family Parvoviridae, tentatively assigned to genus Brevidensovirus with species name PstDNV (Penaeus stylirostris densovirus). Virions measure 20-22nm non-enveloped icosahedral virion, ssDNA Affected countries: IHHNV-1 Western hemisphere in most shrimp farming countries, in wild stocks of NW S. America, central America and Mexico. IHHNV-2 Thailand, SE Asia IHHNV-3/4 Western Indian Ocean and E Africa
IHHNV causes cumulative mortalities, poor disparate growth and deformities and has huge effect on market prices. Survivors of the infection are typically chronic carriers. IHHNV infections are most severe in L. stylirostris and L. vannamei but the virus can also infect P. monodon, L. schmitti, Fa. californiensis, Ma. japonicus, post-larvae, juveniles and adults. Experimentally infected L. setiferus, Fa. aztecus and Fa. duorarum. Gross symptoms - Acute infections show blue pigmentation, lethargy, mottled appearance and anorexia. Chronic infections display runt deformity syndrome (RDS) type deformities and disparate growth
Hematopoietic tissue, nervous tissue, gills, gonad, connective tissues, antennal gland. Hypertrophied nuclei containing eosinophillic inclusion bodies can be seen distributed throughout the tissues.
University of Arizona
Tucson, Arizona
USA
Dr D.V.Lightner
10/29/2007